
在细胞水平筛选狨猴B2m基因的有效沉默靶点,并进行验证...
2021-11-30
测定SPF级C1型尼曼-匹克病小鼠(Npc1-/-小鼠)的生长繁殖及血液生理生化指标,为开展NPC1病人的研究提供理论性的基础资料...
2021-11-30
模型方法将成人固定在麻醉下,沿腹部中线打开腹部,并用5-0血管缝合法缝合肾静脉上方的下腔静脉...
2021-11-29
常用药物包括戊巴比妥,普萘洛尔,维拉帕米,丙咪嗪,呋喃唑酮和烯丙胺...
2021-11-29
评估登革病毒实时荧光定量RT-PCR方法,应用于登革热小鼠模型关键指标的检测...
2021-11-29
使用心电图检测并鉴定压力超负荷的慢性心力衰竭大鼠...
2021-11-29
探讨LXRαRNA干扰(RNAi)对脂肪肝供肝大鼠肝移植后肝功能改善的影响及其机制...
2021-11-29
建立2型糖尿病合并冠心病的大鼠模型...
2021-11-29
口腔癌对人类健康和生命构成严重威胁,其发病率逐年增加。口腔癌动物模型的应用对于临床口腔癌的诊断和治疗研究具有不可替代的作用...
2021-11-29
研究 5⁃氟尿嘧啶诱导小鼠化疗性肠黏膜炎动物模型...
2021-11-29
向实验动物的房室结注入一定量的无水乙醇或施加视频能量会损坏心肌传导组织,并创建房室传导阻滞的动物模型...
2021-11-29
为探讨维生素D受体(vitamin D receptor,VDR)在C57BL/6小鼠十二指肠中的定位与表达,研究维生素D系统与肠道发育过程的相关性...
2021-11-29
加利福尼亚大学洛杉矶分校的研究人员确定了可以在小鼠肌肉细胞中复制锻炼效果的化合物...
2021-11-29
血脑屏障(BBB)是阻碍治疗药物向中枢神经系统(CNS)靶向递送的*显著障碍...
2021-11-29
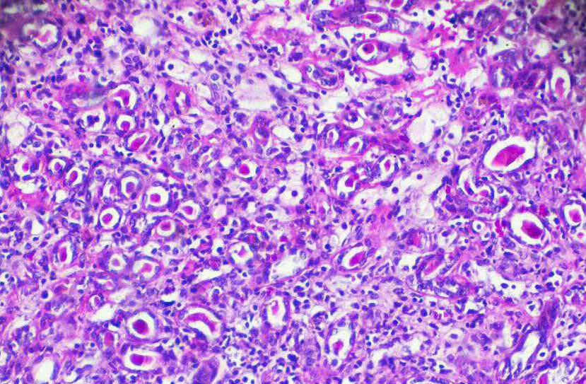
建立二乙基亚硝胺(DEN)诱导的小鼠肝癌模型,并分别采用两种配方食品:SPF级小鼠和大鼠完全复合饮食和AIN93-G联合合成饮食,建立一种效果诱发的小鼠肝癌模型...
2021-11-29
SD大鼠,8周大,雄性。实验室温度为18-25℃,定时喂食,自由进食和饮水...
2021-11-29