
链脲霉素诱导糖尿病动物模型...
2021-03-11
自发性糖尿病动物又称自发性高血糖动物,是动物自然发生的糖尿病,或通过遗传育种培养保留下来的糖尿病模型,其表现与人类糖尿病临床症状非常相似,可用于糖尿病病因及发病机制的研究,也可用于抗糖尿病药物的研究及筛选...
2021-03-11
宫内感染是导致早产及早产儿疾病的主要原因之一...
2021-03-11
围绝经期(perimenopausal period)指从接近绝经出现绝经有关的内分泌、生物学和临床特征起至绝经一年内的期间,即绝经过渡期至绝经后一年...
2021-03-11
在胰腺癌的早期诊断和治疗中,发现胰腺癌的癌前状态即胰管上皮肿瘤的分子遗传异常与胰腺癌直接相关...
2021-03-10
通过基因工程方法将特定的外源基因引入动物的基因组,并整合并复制该基因以饲养携带该外源基因的动物...
2021-03-10
通过将肝癌组织,细胞系或其他恶性肿瘤从动物或人移植到动物而形成的肝癌模型...
2021-03-10
诱导型肝癌动物模型是一种肝纤维,通过化学,物理和生物致癌因素作用于实验动物,诱发动物肝癌的形成,疾病是模拟周期性变化...
2021-03-10
通过切割胆管或注射硬化剂,会人为地引起肝外胆管阻塞,引起胆管扩张,胆汁淤积,并在阻塞部位上方增加胆管内压力...
2021-03-10
通过输入异种血清使机体免疫调节紊乱,在汇管区出现免疫复合物沉积,引起血管炎和血管周围炎,激活贮脂细胞转变为成纤维细胞,并激活免疫细胞,释放细胞因子,进一步刺激胶原的增生,导致肝组织内纤维组织的形成增多、降解减少...
2021-03-10
乙醛是乙醇的一种中间体代谢产物,直接损害肝脏,将辅酶I(NAD)转化为肝脏中还原型辅酶I(NADH),并降低NAD/NADH的比例,从而抑制三羧酸...
2021-03-10
通过同时使用基因修饰和营养因子,可以创建符合人类NAFLD规律的动物模型,例如ob/ob小鼠+ MCD饮食,db/db小鼠+ MCD饮食和Abcb11小鼠...
2021-03-10
经常使用甲硫氨酸-胆碱缺乏症(MCD)饮食来诱发经典的NAFLD动物模型...
2021-03-10
研究者将人的肝细胞移植到免疫缺陷小鼠体内,使之可以感染HCV,成为人源化小鼠丙型肝炎动物模型,这与人源化乙型肝炎小鼠模型是类似的...
2021-03-10
目前为止,有多种HCV相关转基因小鼠模型被建立,为研究HCV组成基因与肝脏疾病的关系提供了有力的研究工具...
2021-03-10
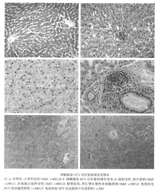
当前使用的HCV动物模型主要包括黑猩猩丙型肝炎模型,树sh丙型肝炎模型和大鼠丙型肝炎模型...
2021-03-10